Sábado, 25 de Abril de 2026
Instagram Facebook Twitter
Información General | Se trata de una de las casi 9000 enfermedades poco frecuentes, que hoy celebra su Día Mundial. En qué consiste y cómo se trata esta afección hereditaria que hasta ahora no tiene cura y puede ser mortal
Información General | En el Salón Verde de Casa de Gobierno se desarrolló este jueves la conferencia de prensa en donde se anunció formalmente la realización del mega evento denominado “Gran Pizza Solidaria”, a beneficio de la Fundación Virgen de Luján.
Información General | El ministro Secretario General de la Gobernación, Juan Carlos Alvarez, recibió a una delegación de alumnos del Colegio Católico Privado, Santísimo Sacramento, encabezada por el profesor de Proyecto Socio Comunitario, Roberto Claudio Ascensio
, quienes lo interiorizaron de las gestiones y trabajos que vienen desarrollando para construir una plaza en un predio fiscal del barrio Dr. Montaña de esta capital.
Información General | Con ofertas sociales, deportivas, culturales y hasta solidarias, el programa Vida Pura se alista para desandar varias jornadas junto a las familias de la Capital e Interior. Con entrada libre y gratuita, el espacio más exitoso de la gestión provincial realizará en cuanto al deporte torneos de softbol, ciclismo, la continuidad del fútbol, olimpiadas de Diversidad y Género.
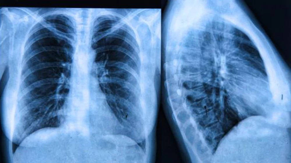
Información General | Desde el Instituto de Cardiología, anoche cerca de la medianoche ratificaron el parte médico de la tarde, sobre el estado de salud del músico itateño Pocho Roch. “Permanece estable”, expresó el doctor Julio Vallejos.
Información General | La nueva edición de la fiesta de rock más esperada de la región está a la vuelta de la esquina. Unos pocos días nos separan de la fecha inaugural de la edición 2017 del Taragüi Rock Corrientes, que se realizará los días 8, 9 y 10 de septiembre, con una fecha bonus el 24 de septiembre.
Información General | La diva de los almuerzos se mostró preocupada por la desaparición de Santiago Maldonado y pidió al Gobierno que "investigue". "Macri dio la orden de que no se hable más del tema", aseguró
Información General | Pese a la advertencia del Municipio capitalino, algunos locales continúan con la modalidad del exigir el pago de un plus. En la periferia es más frecuente esta práctica.
Información General | El ambicioso proyecto de integración lleva expresiones artísticas al interior. La idea es dar visibilidad a los artistas, y brindar un espectáculo de calidad a los vecinos. El carnaval, la novedad de esta edición, sacude a la provincia.
Información General | El Ministerio de Educación a través de la Dirección de Educación Domiciliaria y Hospitalaria presentó el “1er Congreso Internacional de Educación Domiciliaria y Hospitalaria” que tendrá lugar el 22 de septiembre en el salón Auditorio de la Facultad de Veterinaria.
Información General | Luego de haber sufrido un desmayo en su casa que derivó en un golpe muy fuerte contra un mueble, el compositor correntino Gonzalo del Corazón de Jesús "Pocho" Roch (78) quedó internado en el área de terapia intensiva del Instituto de Cardiología de Corrientes.
Información General | Con eventos en simultáneo, el programa del Gobierno provincial coronó un fin de semana que contó con el impagable acompañamiento de los vecinos, tanto para las actividades deportivas como sociales, en distintos puntos de Capital como en esa localidad del interior.
Información General | El primer premio del millón de pesos en el concurso a los mejores proyectos educativos de argentina resultó para un establecimiento de Jujuy. La escuela Fray Luis Beltrán de Corrientes quedó entre los 10 finalistas, de 1200 concursantes.
Información General | El 4 de septiembre de 2014 falleció uno de los artistas más completos del continente. El repaso de su exitoso camino por fuera de Soda Stereo
Información General | El Gobierno Provincial a través del Ministerio de Turismo de la Provincia de Corrientes, y Prefectura Naval Argentina, concientizaron sobre las tareas y obras que deben hacer las áreas correspondientes, para llegar a la temporada de verano, con las playas, balnearios e instalaciones habilitadas. Piden también reforzar la seguridad.

Página 1039 de 1829
 MÁS LEIDOS DE HOY
TUS NOTICIAS CORRIENTES
Copyright ©2009 | www.TnCorrientes.com
Todos los derechos reservados

DESARROLADO POR:
www.chamigonet.com.ar
Portada | Política | Información General | Interior | Policiales | Deportes | Espectáculos | Nacionales | Internacionales

TNCorrientes.com
Redacción: redacciontncorrientes@gmail.com